Jannah Theme License is not validated, Go to the theme options page to validate the license, You need a single license for each domain name.
صحة وجمال

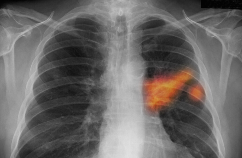
العلماء يحددون آلية تربط “كوفيد-19” بسرطان الرئة

كشفت دراسة دولية أن فيروس كورونا قد يترك آثارا صحية طويلة المدى تتجاوز المرحلة الحادة من المرض.

وتبين أن الفيروس قد يزيد قليلا من خطر الإصابة بسرطان الرئة، خاصة لدى المدخنين، وذلك من خلال سلسلة من التفاعلات البيولوجية التي يقودها بروتين “سبايك” الشهير.

ومنذ بداية الجائحة، لاحظ الأطباء أن العديد من الناجين من “كوفيد-19” يعانون من تليف رئوي، وهي حالة تتميز بتندب أنسجة الرئة من المعروف طبيا أنها تزيد من احتمالات الإصابة بالسرطان في المستقبل. لكن السؤال الذي ظل محيرا للعلماء طوال السنوات الماضية هو: هل الفيروس نفسه هو المسؤول عن تهيئة الرئة لتكون بيئة مناسبة لنمو الأورام، أم أن الأمر مجرد مضاعفات ثانوية للمرض؟.

وللإجابة عن هذا السؤال، قام فريق بحثي بقيادة البروفيسور أليكس غيليليس-هليل من الجامعة العبرية في القدس ومركز هداسا الطبي، بالتعاون مع باحثين من جامعة مارشال الأمريكية، بتحليل بيانات ضخمة شملت أكثر من 166 ألف مريض باستخدام قاعدة البيانات الصحية العالمية TriNetX، مع الحرص على مقارنة المجموعات بدقة لعزل آثار “كوفيد-19” عن العوامل الأخرى.

ووجد الباحثون أن الناجين من “كوفيد-19” أظهروا زيادة طفيفة لكنها ملحوظة إحصائيا في خطر الإصابة بسرطان الرئة، حيث ارتفع الخطر النسبي بنسبة 22%. وكان هذا الخطر مرتفعا بشكل خاص بين المدخنين الحاليين.

ومن المثير للاهتمام أن الدراسة لم تجد زيادة مماثلة في خطر الإصابة بسرطان الفم أو المثانة، ما يشير إلى أن الفيروس لديه تفضيل خاص للتأثير على أنسجة الرئة دون غيرها.

ولفهم الآلية البيولوجية التي تفسر هذه النتائج، تعمق الباحثون في دراسة المسارات الجزيئية داخل خلايا الرئة، فوجدوا أن بروتين “سبايك” الموجود على سطح الفيروس يلعب دورا محوريا في هذه العملية.

ويبدو أن هذا البروتين يغير طريقة تعامل الخلايا الرئوية مع مستقبل ACE2 (وهو البوابة التي يستخدمها الفيروس لدخول الخلايا)، ما يؤدي إلى توليد أجزاء بروتينية صغيرة تسبب زيادة في تلف الأنسجة وتجددها بشكل غير طبيعي.

وهذه التغييرات تؤدي إلى تنشيط إنزيم حيوي يدعى “ثيميدين فوسفوريلاز” (Thymidine Phosphorylase) أو اختصارا إنزيم TYMP، والذي تبين أنه المحرك الرئيسي لهذه السلسلة الخطيرة. فعندما يتم تنشيط هذا الإنزيم، تحدث عدة أمور متتالية: زيادة الالتهاب وتلف أنسجة الرئة، وتعزيز التليف وترسب مادة الكولاجين (وهي المادة المسؤولة عن تندب الأنسجة)، وتنشيط مسار إشارات يعرف باسم STAT3 وهو مسار معروف بقدرته على تعزيز نمو الخلايا السرطانية، وأخيرا تحويل البيئة المناعية داخل الرئة لتصبح بيئة داعمة ومشجعة للورم بدلا من أن تكون بيئة مقاومة له.

بمعنى آخر، يبدو أن الفيروس يطلق سلسلة من التفاعلات يمكن تلخيصها كالتالي:

لكن الدراسة لم تقف عند حد كشف المشكلة، بل ذهبت إلى ما هو أبعد من ذلك. فقد أشار الباحثون إلى أن تحديد إنزيم TYMP كمحرك مركزي لهذه السلسلة يفتح الباب أمام إمكانيات علاجية واعدة، حيث يمكن تطوير أدوية تعمل على تثبيط هذا الإنزيم، ما قد يشكل نهجا جديدا ليس فقط للوقاية من السرطان لدى الناجين من “كوفيد-19″، ولكن أيضا للحد من التليف وأمراض الرئة المزمنة التي تصيب الكثيرين بعد العدوى الفيروسية.

ويؤكد الباحثون أن الخطر الفردي لكل شخص ما يزال متواضعا نسبيا، ولا داعي للذعر بين الناجين من الفيروس. لكن الأهمية الحقيقية لهذه النتائج تكمن على المستوى السكاني، خاصة لدى الفئات التي لديها عوامل خطر إضافية مثل التدخين.

ومع استمرار العالم في التعامل مع تداعيات الجائحة الطويلة المدى، يصبح فهم هذه الآليات البيولوجية الخفية أمرا بالغ الأهمية، ليس فقط للعلاج، بل أيضا للتدخل المبكر والوقاية الفعالة.

اترك تعليقاً

لن يتم نشر عنوان بريدك الإلكتروني. الحقول الإلزامية مشار إليها بـ *

زر الذهاب إلى الأعلى